• خراسان رضوی، مشهد، بلوار بعثت، بین بعثت ۳ و ۵، پلاک ۵۳
  • info@dr-jahromi.com

Office Address

123/A, Miranda City Likaoli
Prikano, Dope

شماره تلفن

+0989 7876 9865 9
+(090) 8765 86543 85

آدرس ایمیل

info@example.com
example.mail@hum.com

بیماری عروق محیطی (PAD)

آنژیوگرافی عروق پا و استنت‌گذاری

peripheral-vascular-disease



 

مقدمه  درباره بیماری عروق محیطی (PAD)

بیماری عروق محیطی یا PAD به کاهش جریان خون به اندام‌های تحتانی به دلیل تنگی یا انسداد عروق ران، ساق و کف پا اشاره دارد. این اختلال عمدتاً ناشی از تصلب شرایین (آترواسکلروز) است که باعث کاهش عرضه اکسیژن و مواد مغذی به بافت‌ها می‌شود. PAD به طور قابل توجهی کیفیت زندگی را پایین می‌آورد و می‌تواند منجر به درد هنگام راه رفتن، زخم‌های مزمن و در صورت پیشرفت، به آمبولی یا نارسایی عروقی منجر شود. تشخیص زودهنگام و مدیریت به موقع با ایجاد تداخلی جامع بین سبک زندگی سالم، داروها و مداخلات داخل عروقی، به بهبود میان‌مدت و بلندمدت بیمار کمک می‌کند.

علائم، علل و اهمیت تشخیص زودهنگام

  • علائم رایج: درد یا سایه‌زنی در ساق هنگام راه رفتن که با استراحت از بین می‌رود (کلادیکاسیون)، گزگز یا خارش، سردی یا بی‌حسی پاها، زخم‌های پا یا قانقاریا در مراحل پیشرفته، تغییر رنگ پوست و ناخن‌های ضخیم.
  • علل اصلی: توفان آترواسکلروزی، فشار خون بالا، دیابت mellitus، dyslipidemia، smoking، سابقه خانوادگی، کم‌تحرکی و عوامل التهابی.
  • اهمیت تشخیص زودهنگام: پیشگیری از پیشرفت بیماری، جلوگیری از عوارض شدید مانند زخم‌های پای دیابتی، کاهش خطر بستری و حفظ توان راه رفتن بیمار.

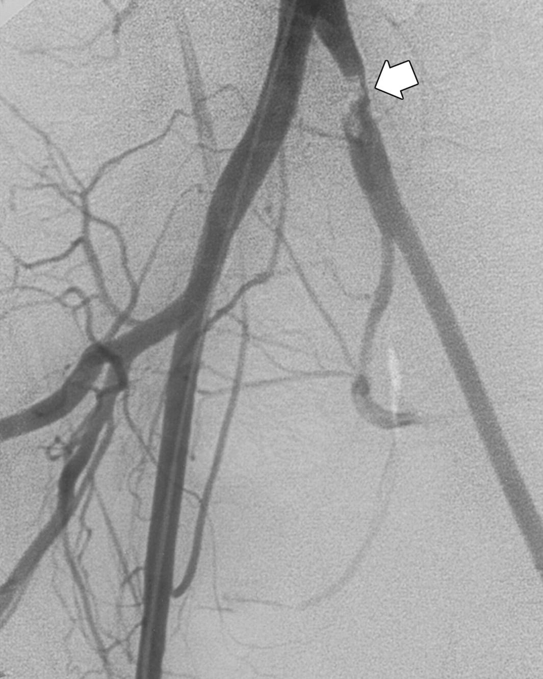
آنژیوگرافی عروق پا چیست و چه زمانی انجام می‌شود؟

  • تعریف: آنژیوگرافی عروق پا یک روش تهاجمی تصویربرداری است که با تزریق ماده حاجب و گرفتن تصاویر از عروق پا، میزان شدت تنگی یا انسداد و محل دقیق آن را نشان می‌دهد.
  • چه زمانی انجام می‌شود: در صورت وجود علائم PAD با احتمال بالای تنگی عروق، در مواقعی که تصویربرداری غیرتهاجمی مانند داپلر یا CT/MRI آنژیوگرافی اطلاعات کافی ارائه نکند، یا برای تصمیم‌گیری در مورد درمان داخل عروقی مانند استنت‌گذاری یا استنت‌گذاری، انجام می‌شود. همچنین پس از ارزیابی غیرتهاجمی برای تعیین نیاز به مداخله یا پایان دادن به تشخیص، انجام می‌گردد.

    images_04_ac0626_03b0973b30d90318daeb68e66c1d26c49_big_gallery

     

مراحل انجام آنژیوگرافی و استنت‌گذاری عروق پا

  1. آماده‌سازی و ارزیابی اولیه:
  • سابقه پزشکی و مصرف داروها، آزمایش‌های خونی، بررسی فشار خون و شاخص‌های انعقاد خون.
  • آموزش بیمار درباره منظوره، خطرات و مزایا، و گرفتن رضایت آگاهانه.
  • قطع داروهای ضدانعقاد طبق دستورات پزشک در صورت نیاز، با هماهنگی تیم پزشکی.
  1. ورود به اتاق آنژیوگرافی و بی‌حسی:
  • بی‌حسی موضعی در ناحیه دست یا پا یا گاهی بی‌هوشی سبک برای راحتی بیمار.
  • استفاده از استریل کامل و تیم تخصصی عروق.
  1. ورود کاتتر و تزریق ماده حاجب:
  • حرکت کاتتر از طریق عروق به سمت ناحیه آسیب‌دیده و تزریق ماده حاجب برای نمایش بافت عروقی در تصاویر فلورسنس یا CT.
  • تهیه تصاویر دقیق از طول عروق پا و شریان‌های پا.
  1. تشخیص دقیق و تصمیم‌گیری در مورد مداخله:
  • تعیین محل و شدت تنگی یا انسداد، بررسی قابل انجام بودن استنت‌گذاری و سایر تکنیک‌ها مانند بالون‌وتراپی، atherectomy یا گرافت‌های عروقی.
  1. استنت‌گذاری عروق پا (در صورت نیاز):
  • بازکردن مسیر با بالون و قرار دادن استنت فلزی ، برای گشودگی طولانی عروق و حفظ جریان خون.
  • تنظیم شدت بالونی و بررسی جریان پس از استنت‌گذاری با تصاویر مجدد.
  1. پایان کار و بازگشت به حالت عادی:
  • فیکس کردن زخم و فرستادن بیمار به بخش برای مانیتورینگ.
  • ارائه دستورات مراقبتی و دارویی برای پیشگیری از ترومبوز و بازگشت تنگی دوباره.

    peripheral-angiography-and-angioplasty-2-1
     

مزایا و نتایج درمان

  • بهبود قابل توجه در جریان خون عروقی پا و کاهش درد هنگام راه رفتن.
  • بهبود توان پیاده‌روی، کیفیت زندگی و عملکرد اندام تحتانی.
  • کاهش خطر زخم‌های پا و نیاز به جراحی‌های باز دامنه‌دار.
  • استنت‌گذاری و سایر مداخلات عروقی می‌تواند به عنوان حضور طولانی مدت در حفظ گشودگی عروق عمل کند.
  • نتایج درمان به شدت به انتخاب مناسب بیمار و عوامل ریسک محیطی مانند دیابت یا نیکوتین وابسته است.

عوارض احتمالی و میزان شیوع

  • عوارض کوتاه‌مدت: درد موضعی، کبودی، خونریزی در محل ورود کاتتر، حساسیت نسبت به ماده حاجب، عفونت‌های سطحی.
  • عوارض جدی‌تر نادر: تشنج، آسیب به عروق، آمبولی یا لخته، واکنش خطرناک به ماده حاجب.
  • میزان شیوع عوارض: با تجربه تیم، کنترل دقیق و استفاده از تکنیک‌های ایمن، عوارض جدی نسبتاً کم است، اما در هر مورد باید ریسک‌ها به بیمار توضیح داده شود.

مراقبت‌های قبل و بعد از آنژیوگرافی

قبل از آنژیوگرافی:

  • اجتناب از غذا و داروهای خاص طبق دستور تیم پزشکی.
  • هماهنگی با تیم پرستاری در زمینه داروها و رژیم قبل از عمل.
  • ترک یا کاهش مصرف دخانیات برای بهبود نتایج درمان.

بعد از آنژیوگرافی:

  • استراحت در بخش برای مدت معین، کنترل فشار خون و سطح خون.
  • پایش محل ورود کاتتر و جلوگیری از فشار شدید روی موضع.
  • مصرف داروهای ضدانعقاد یا داروهای ضد پلاکت طبق تجویز پزشک.
  • پیگیری‌های منظم، کنترل درد و اطلاعات درباره علائم غیرعادی مانند خونریزی یا عفونت.

    Shutterstock_1247766124-1-1024x535
     

 تست ABI

تعریف ABI

  • ABI یا Ankle-Brachial Index نسبت فشار نقطه مچ پا به فشار بازویی است و شاخصی ساده و غیر تهاجمی برای ارزیابی جریان خون اندام تحتانی است.
  • مقادیر بالاتر از محدوده طبیعی نشان‌دهنده عروق سالم است و مقادیر پایین‌تر از حد نرمال نشان‌دهنده وجود گرفتگی یا انسداد در عروق پا است.

نحوه انجام تست ABI به زبان ساده و علمی

  • انجام به‌صورت غیر تهاجمی: اندازه‌گیری فشار سیستولی در هر دو پا و هر دو بازو با فشارسنج‌های مخصوص.
  • محاسبه ABI برای هر پا به صورت تقسیم فشار مچ پا بر فشار بازو همان پا.
  • تکرار در هر دو پا برای مقایسه.

تفسیر اعداد ABI (نرمال، خفیف، متوسط، شدید)

  • نرمال: 1.0 تا 1.4
  • خفیف تا متوسط کاهش: 0.91 تا 0.99
  • متوسط تا شدید کاهش: 0.41 تا 0.90
  • بسیار شدید یا انسداد کامل: کمتر از 0.40
  • مقادیر بالاتر از 1.4 ممکن است نشان‌دهنده_DP یا تداخل در اندازه‌گیری باشد.

بیماری‌های قابل تشخیص با ABI

  • PAD با شدت‌های مختلف، از گرفتگی متوسط تا شدید.
  • وجود بیماری‌های عروقی همراه مانند عروق کم‌کار یا نارسایی‌های شریانی.

اهمیت ABI در تصمیم‌گیری درمانی

  • ABI به عنوان ابزار غربالگری ابتدایی و ارزیابی شدت بیماری برای تصمیم‌گیری بهتری در مورد مداخلات مانند استنت‌گذاری یا درمان غیرتهاجمی استفاده می‌شود.
  • ABI با ترکیب سایر مجموعه‌های تشخیصی مانند داپلر و تصویربرداری، تخمین دقیق‌تر از وضعیت عروق را فراهم می‌کند.

مزایا و نتایج درمان

  • تشخیص سریع و ارزان برای PAD.
  • راهنمایی دقیق در انتخاب درمان‌های غیرتهاجمی یا مداخلاتی مانند آنژیوگرافی و استنت‌گذاری پا.
  • پایش پیوسته با ABI برای پیگیری پیشرفت یا بهبود بیماری.

عوارض احتمالی و میزان شیوع

  • در تست ABI عوارض جدی وجود ندارد و به‌طور کل بی‌خطر است.
  • احتمال وجود درد موقتی یا کبودی پس از فشار دادن روی پا وجود دارد، اما معمولاً خفیف است.
  • شیوع عوارض در ABI بسیار کم است و بیشتر مرتبط با صدمات سطحی است.

انجام تست ABI، تشخیص و درمان بیماری‌های عروق محیطی در «کلینیک فوق تخصصی قلب و عروق دلبان»

  • کلینیک دلبان با تیمی از متخصصان قلب و عروق و تیم‌های تصویربرداری داخلی، به تشخیص و درمان PAD می‌پردازد.
  • خدمات ارائه‌شده شامل ABI، داپلر عروق، آنژیوگرافی عروق پا، استنت‌گذاری و مداخلات عروقی با روش‌های نوین است.
  • حفظ کیفیت، ایمنی و رضایت بیماران با رعایت استانداردهای بالای پزشکی ارائه می‌شود.
  • با انجام بررسی دقیق و برنامه‌ریزی درمانی، کلینیک دلبان بهبود عملکرد اندام تحتانی وکیفیت زندگی بیماران را فراهم می‌آورد.
  • 420x350-Peripheral-Angiogram


     

جمع‌بندی نهایی

آنژیوگرافی عروق پا و استنت‌گذاری، به‌عنوان محور اصلی درمان مداخله‌ای PAD، با تشخیص دقیق و مداخله به‌موقع، می‌تواند به بهبود کیفیت زندگی، کاهش درد و حفظ توان حرکت بیمار منجر شود. تست ABI به عنوان ابزار غیرتهاجمی کلیدی برای غربالگری و تصمیم‌گیری درمانی اهمیت دارد و در کلینیک فوق تخصصی قلب و عروق دلبان به‌طور مداوم با تجربه تیم، تشخیص زودهنگام و درمان کارآمد ارائه می‌گردد. هدف ما ارائه خدمات پزشکی با بالاترین کیفیت و کمترین خطر برای بیماران است.