
CTO یا Chronic Total Occlusion به حالتی گفته میشود که یکی از شریانهای کرونری قلب بهطور کامل (۱۰۰٪) و برای مدت بیش از ۳ ماه مسدود شده باشد.
در این وضعیت، مسیر طبیعی جریان خون به عضله قلب قطع میشود و قلب برای جبران، از عروق فرعی (Collateral) استفاده میکند که معمولاً کافی نیستند.
✅ این نوع انسدادها از پیچیدهترین ضایعات در آنژیوپلاستی قلب محسوب میشوند و درمان آن نیازمند تجربه بالا، مهارت تخصصی و تجهیزات پیشرفته است.
بسیاری از بیماران مبتلا به CTO با علائم زیر مراجعه میکنند:
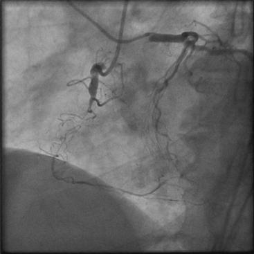
تشخیص قطعی CTO از طریق آنژیوگرافی عروق کرونر انجام میشود.
در آنژیوگرافی مشخص میشود:
پس از آنژیوگرافی، بیمار توسط فوق تخصص اینترونشنال عروق ارزیابی شده و بهترین روش درمانی انتخاب میشود.

❌ خیر
برخلاف گذشته، امروزه در بسیاری از موارد CTO بدون جراحی قلب باز و تنها از طریق آنژیوپلاستی پیشرفته (CTO PCI) قابل درمان است.
✅ این روشها فقط باید توسط پزشکانی انجام شود که آموزش تخصصی CTO دیدهاند.
باز کردن CTO نیازمند تکنیکهای پیشرفته و ابزارهای خاص است که بسته به آناتومی رگ انتخاب میشوند:

در نهایت، پس از عبور موفق، آنژیوپلاستی و استنتگذاری انجام میشود.

✔ کاهش درد قفسه سینه
✔ بهبود تنگی نفس
✔ افزایش توان قلب و EF
✔ بهبود کیفیت زندگی
✔ کاهش نیاز به جراحی قلب باز
✔ کاهش مصرف داروهای ضدآنژین
درمان رگهای بستهشده مزمن (CTO) توسط دکتر سید محسن جهرمی مقدم
فلوشیپ اینترونشنال عروق و اندووسکولار انجام میشود.
🔹 انجام آنژیوپلاستی CTO با جدیدترین تکنیکهای روز دنیا
🔹 استفاده از تجهیزات پیشرفته CTO و ROTA
🔹 انجام اقدامات در پیشرفتهترین بیمارستانهای شهر مشهد
🔹 انتخاب دقیق بیمار و روش درمان بر اساس آناتومی و شرایط قلب
✅ ارزیابی اولیه و پیگیری بیماران در کلینیک دلبان مشهد انجام میشود.
تصمیم نهایی برای درمان CTO بر اساس موارد زیر گرفته میشود:
📌 انتخاب روش درمان کاملاً تخصصی و فردمحور است.
رگ بستهشده مزمن (CTO) یکی از پیچیدهترین بیماریهای عروق کرونر است که امروزه با آنژیوپلاستی پیشرفته و بدون جراحی قلب باز قابل درمان میباشد؛
به شرط آنکه توسط پزشک دارای مهارت و تجربه تخصصی CTO و در مراکز مجهز انجام شود.